Karnından uyuşturucu zulası çıktı
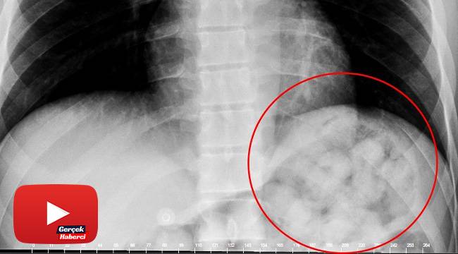
Van’dan otobüsle Ankara’ya gelen yabancı uyruklu şahıs, yuttuğu 72 kapsül metamfetamin kapsülünün midesinde patlaması üzerine rahatsızlanarak hastaneye kaldırıldı.
Yayınlanma :
06.03.2021 06:48
Yorum Yazma Kuralları
Lütfen yorum yaparken veya bir yorumu yanıtlarken aşağıda yer alan yorum yazma kurallarına dikkat ediniz.
Türkiye Cumhuriyeti yasalarına aykırı, suç veya suçluyu övme amaçlı yorumlar yapmayınız.
Küfür, argo, hakaret içerikli, nefret uyandıracak veya nefreti körükleyecek yorumlar yapmayınız.
Irkçı, cinsiyetçi, kişilik haklarını zedeleyen, taciz amaçlı veya saldırgan ifadeler kullanmayınız.
Türkçe imla kurallarına ve noktalama işaretlerine uygun cümleler kurmaya özen gösteriniz.
Yorumunuzu tamamı büyük harflerden oluşacak şekilde yazmayınız.
Gizli veya açık biçimde reklam, tanıtım amaçlı yorumlar yapmayınız.
Kendinizin veya bir başkasının kişisel bilgilerini paylaşmayınız.
Yorumlarınızın hukuki sorumluluğunu üstlendiğinizi, talep edilmesi halinde bilgilerinizin yetkili makamlarla paylaşılacağını unutmayınız.
Yorumlar
Kalan Karakter: